「歯がグラグラする・・・」
「歯ぐきが、2~3日前から急に腫れて痛くなってきた」
「歯ブラシをしたときに歯ぐきから血が出る」
「歯がグラグラして、前歯にすき間が空いてしまった」
「口臭が気になるんだ・・・」
これらのことにお悩みの方は多いのではないでしょうか?当院にも、多くの患者様がこれらの症状で来院されます。そして、原因はほとんど決まっています。その大半が歯周病が原因なのです。
歯周病という名前だけは良く聞くかもしれません。しかし、どのような病気なのかは一般的にはほとんど知られていません。
実は、歯周病は非常に恐ろしい病気なのです。
歯周病は、誰にでも起こる可能性があり、しかも、歯周病になってしまったら、もう完全に治すことは不可能なのです。
つまり、歯周病に一度かかってしまったら、どのようにそれ以上進行しないしていくか、ということが全てなのです。
「年を取ったら歯は悪くなって当たり前だ」と思ってらっしゃる方がたくさんいらっしゃいます。
悲しいですが、今の日本の現状ではその通りです。
現在、80歳の方の平均残存指数はたったの6.8本(厚生省調べ)しかありません。
通常、人間のお口の中には28本の歯がありますから、約4分の1しか残ってないのです。
アメリカであれば85歳のときに平均15.8本、スウェーデンであれば75歳で平均19.5本の平均残存歯数となっています(サンスター調べ)。
なぜ、こんなに大きな差がついてしまったのでしょうか?
それは、日本の保険制度に問題があります。
日本の保険制度では「悪いところを削ってつめる」ことしか保険として認められていなかったからです。
ですから、日本人の頭の中に「歯医者は歯が痛くなったら行くところだ」という意識がついてしまったのです。
そのために、歯医者自体も削ってつめる治療ばかりを行い、「どうしたら悪くならないように予防できるか」ということを出来なかったし、患者様に伝えることも出来なかったのです。
これが欧米諸国との間に大きな差がついてしまった最大の原因です。
これにより、むし歯になる人も、歯周病になる人も減少することなく来てしまったのです。
スウェーデンでは75歳の平均で約20本も歯が残っているのです。歯は残せないのではなく、単に歯を残していないだけなのです。
我々も、きちんとした対策を行えば、十分歯を残せるのです。
では、どうしたら歯を残せるのでしょうか?
欧米諸国はどのようにして、歯を残しているのでしょうか?
その答えが1~3ヶ月に1回、定期的に歯科医院でメインテナンスを受けることなのです。
欧米では、治療ではなく、このメインテナンスに力を入れたことによって、国民の平均残存歯数が飛躍的に向上したのです。
日本でも、熊谷崇先生の調査によると、以下のグラフのようにメインテナンスをきちんと受けた方と受けなかった方とでは80歳になったときに約9本もの差がついているのです。
皆さんは、80歳になったときに、何本、歯を残していたいですか?

多くの方が、むし歯が原因で歯が抜けてしまうと思っています。
しかし、現実は違います。
左図のように46歳~55歳の方で、歯が抜ける原因の約半分が歯周病なのです。
皆さん、歯周病ってどんな病気かご存知ですか?
そもそも、歯というのは何によって、支えられているがご存知ですか?
多くの方は「歯ぐき」と答えます。
しかし、実際には違います。
実際には、歯は歯槽骨(しそうこつ)という骨によって支えられているのです。
この歯槽骨が溶けてしまう病気が歯周病なのです。
歯を支えている骨がなくなってしまうと、歯は支えを失って抜けてしまうのです。この溶けてしまった歯槽骨は元に戻るでしょうか?
実は、元に戻らないのです(再生療法以外では)!!
歯の表面であれば、悪いところを削ってつめて、かぶせ物をすることで補うことができますが、歯ぐきの下にある歯槽骨を削って詰めることはできないのです。
ということは、歯周病は進行を食い止めることはできるのですが、治すことはできないのです。 しかも!恐ろしいことに歯周病は痛みが無く、進行します。
皆さん、むし歯になれば痛くなりますよね?
だから、「痛くなったら歯医者に行くものだ」と思う方が多いわけです。
しかし、痛みが無く進行する歯周病になるとどうでしょう?
知らないうちに、歯ぐきの下で歯周病が進行し、「むし歯になって久しぶりに歯医者に行ってみたら歯周病が進行していた・・・」ということが多いのです。
もちろん、歯周病の進行中に、本人は自覚がありません。
ですから、「○○さん、むし歯の治療の前に歯石を取るようにしましょう」と申し上げても、なかなか理解をしてくださらないということがよくあります。
自覚症状が無い歯周病を予防していくためにも、1~3ヶ月に1度の定期的なメインテナンスが欠かせないのです。
「別に、私は毎日歯を磨いているから関係ないよ」
とおっしゃる方も多いのですが、そんなことはありません。
現在、日本の成人の約80%が上記の歯周病の何らかの段階に入ると言われております。
ちなみに、歯周病が進行してしまうと、インプラントでの歯を復活させるということも難しくなります。
歯周病を治し、お口の状態を良くしていくためにはお口のケアが大切です。お口のケアは、ご自身で行うブラッシング(セルフケア)と歯科医院で行うクリーニングや歯石取り(プロフェッショナルケア)とがあります。セルフケアとプロフェッショナルケアの両方が成り立って初めて良くなっていくのです。
まず大切なのは、ご自分のブラッシング、歯磨きです。
「子供じゃないんだから、歯磨きなんかできるよ!」と思われる方が多いようです。
しかし、実は正しい歯ブラシができている方は非常に少ないです。
正しくない歯ブラシは、キレイにできていないお掃除と同じです。いつも掃除はしているんだけど、いつもキレイになっていないところがある。そういう場所はどうなってしまうでしょうか?
1年、2年、3年・・・そして10年、20年と、キレイにできずに毎日少しずつですが、汚れが蓄積していったらどうなるでしょうか?
もし、それが台所周りだったらどうでしょうか?想像するのも嫌なくらい、汚い状況がイメージできますよね。
そして、お口の中では、それと同じ事が、歯ブラシ1つのせいで起こっているんです!
正しい歯ブラシの仕方、それはつまり正しい歯ブラシの型・フォームです。
野球でも何でも、スポーツはそうですが、全ては型・フォームから始まりますよね?
フォームが悪ければどれだけ一生懸命やっても良い結果は出ません。
それと同じように、悪いフォームの歯ブラシをいつまで続けていても、良い結果、つまり、歯周病の進行を食い止めるという良い結果は訪れないのです。
「歯ブラシの仕方を変えるなんて、簡単だろ!」
そう思われる方もいらっしゃるかもしれませんが、これがそんな簡単なことではないのです。
ゴルフでも、野球でも一度ついた悪い癖を修正するのは思っているよりも大変です。
だからこそ、プロ野球選手もフォームの改造を苦労して成し遂げますし、ゴルフにいたっては正しいフォームを身につけることをアドバイスするレッスンプロまでいるのです。
しかし、歯ブラシのレッスンプロというのは聞いたことがありません。それは、それだけ歯ブラシに対する価値観が低いからだと思います。
しかし、正しい歯ブラシのフォームには100万円以上の価値があると私は真剣に思っています。
正しい歯ブラシのフォームが身についていれば、悪いフォームで磨くよりも少なくとも3本の自分の歯を残すことができると思います。
現在、失った歯を取り戻すための人工歯根インプラントが1本40万円程度です。失ってしまった歯の価値をお金で換算すれば、3本で100万円以上です。
自分の歯のほうがずっといいですから、少なく見積もっても正しい歯ブラシにはやはり、100万円以上の価値があるのではないでしょうか。
当院では、歯科衛生士が担当制にて、あなたのお口の健康をいっしょにご相談させていただきます。お気軽にご相談下さいね。
歯周病の治療や予防には、歯についた歯石を除去することも大切です。
歯石というのは表面がザラザラしています。一方、自分の歯は表面がツルツルです。
どちらが汚れがたくさんつくでしょうか?
当たり前ですが、歯石がついているほうが汚れ(細菌)がつきやすくなります。
汚れがつきやすいと、歯周病が進行してしまいます。先ほども申し上げたように、歯周病は進行を食い止めることが全てです。
そのためには、この汚れをつきやすくさせる原因である歯石を取り除いたほうが良いのです。
ただ、歯石を取り除く前に、原因である汚れをご自分で取れなければ意味がなくなってしまいます。
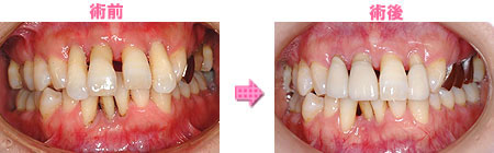
「じゃあ、歯周病になったらもう諦めるしかないの?」と思われる方もいらっしゃると思います。しかし、実は治せるケースもございます。
以下のようなケースの歯周病を、当院では改善までサポートしております。

もしかしたら、皆さんの中で「歯周病なんて俺には関係ない」とか「本当にそんなに良くなるの?」と思われる方もいらっしゃるかもしれません。
しかし、「自分では気づかないうちに手遅れになっていた・・・。」
そんな最悪の事態がが起こらないように、当院で是非検査を受けて下さい。
歯周病学会認定歯周病専門医(院長 藤本淳、副院長 藤本梓)および歯周病学会認定歯科衛生士5名をはじめとするプロフェッショナルチームが治療のお手伝いをさせて頂きます。